2016-12-08牙齿矫正术后麻烦多 如何解决

一口整齐洁白的牙齿总会另你的笑容更完美,给人较好的第一印象。但如果牙齿畸形就会让人笑起来后总没那么自信,于是,很多人选择了牙齿正畸,但牙齿正畸后也会带来许多麻烦,该如何解决呢?
2017-06-27牙齿矫正的最佳年龄,多对比图真实案例分享——成都格林口腔

大概说下自己的情况,左右的第五六颗牙齿不在正常曲线上,远看就像缺了牙齿一样,很难看。 我这种做牙齿矫正是势在必行的,之前就去医院咨询过,问我都20多岁了,矫正还来得及吗,医生说 以前最佳的牙齿矫正时期是成年之前,但科技发展到现在哪怕是四五十岁
2017-06-27牙齿矫正——成都格林口腔医院

2015年12月第一次走进成都格林口腔,医院的环境氛围很舒适很安心,提前对这家医院做过网络查询,在成都颇有名气,开了好几家分店,正规性安全性有保障。 预约的唐院长做的做牙齿矫正,很专业。我的牙齿问题很多,医生说口腔清洁度很差需要再校正牙齿前做一次
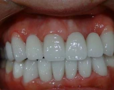
2017-06-27成都牙齿矫正前后对比图分享——成都格林口腔

前后牙齿矫正有2年的时间,时间比其他矫正的都要漫长半年多,现在已经矫正完全,一口健康白皙整齐漂亮的牙齿,一笑连空气都清晰了~ 看一张历经两年时间牙齿矫正前后对比图: 我是在成都格林口腔做的牙齿矫正手术,医生姓史,是一位有着丰富牙齿矫正临床经验
2019-08-2130岁还可以做牙齿矫正吗?会不会年纪偏大了?

31了才想到矫正牙齿,之前对这些没有概念。平时也很注意口腔卫生,刷牙也挺勤。主要症状是,前牙深覆合,咬起来就看不到下牙了。 牙齿也有一点突,侧脸看像是总嘟着嘴,怪怪的。倒也不是影响美观,也有吃东西不方便的毛病,感觉前牙没有用到,害怕长期不用,
2019-10-28成都华西牙齿矫正价格表

俗话说,牙口好胃口就好,这个话是一点都不假的哦。而且牙齿在我们的生活中可是相当重要的一个部分组成呢,而一旦它出现了问题,对我们的影响可是重大的。但是很多小伙伴因为小的时候没有注意正确用牙,那么很有可能就会造成牙齿形状不太好看。为了能够使自
2019-11-11牙齿矫正的价格是多少?

当牙齿不整齐,出现牙齿太拥挤的情况,缺牙齿、少牙齿的情况,一张口形象全无,笑起来也是不好看的,所以呢,在发现牙齿不完美的时候,一定要尽早的去拯救,尽早手术的话尽早的恢复美丽,很多牙齿会随着年龄的加大变得更加的严重,手术的难度也是会增加的,
2020-03-16牙齿矫正有哪些方法?

牙齿可以很好的衬托出一个人的气质,整齐洁白的牙齿会让你的笑容更加的美丽,但是如果牙齿不整齐,就会影响美丽影响容颜,那么怎么办呢?其实做牙齿矫正就是现在一个不错的选择。 做牙齿矫正是疼痛感觉到吗 在做龅牙矫正手术的时候,医生一般都会给患者打麻
2020-03-23安徽韩美口腔医院牙齿矫正怎么样?有价格表吗?

安徽韩美口腔美容中心是经过安徽省批准成立的三级整形外科医院,地址在安徽省合肥市庐阳区濉溪路16号。建筑面积达到1万多平方米,设置有10大诊断治疗区,提供超100项专业的医疗服务,该院的整栋楼都被无线无
2020-05-20杭州格莱美医院整牙好不好?牙齿矫正术后效果展示

我的上排牙齿从小就有些外出,尤其是笑起来的时候会完全暴露出来,就因为这个自己经常不敢大笑。经过一段时间的考虑,还是去做整牙吧。杭州格莱美医院是朋友介绍的,据说他的姐姐就在这里做的整牙,效果特别好。女孩子真是越长大越爱美,小时候真的没在意过
蜀ICP备19040417号-1 形美网 形美网官网 版权所有
Copyright © www.xingmeizx.com. All Rights Reserved.